论坛   有问必答   戴口罩!戴口罩!新增32350例,传染性极强!不是新冠病毒...
返回列表
查看: 2787|回复: 0
收起左侧

戴口罩!戴口罩!新增32350例,传染性极强!不是新冠病毒...

[复制链接]

314

主题

5

回帖

1561

积分

网站编辑

积分
1561
发表于 2024-3-30 16:27:04 | 显示全部楼层 |阅读模式 | 来自湖北


戴口罩!戴口罩!戴口罩!
传染性极强!

162646hatn8dtl4x93t544.gif

近期,天气多变
让人一不小心就“中招”
正值春季呼吸道传染病高发期
最近应该不少人
总是咳咳咳不停吧?



一到晚上就定点咳嗽
一咳就停不下来

“朱医生,我家晨晨白天都好好的,一到晚上就像闹了闹钟,定点咳嗽。每次听她咳嗽吧,好像也没痰,但一咳就停不下来。到底是得了什么怪病?”在杭州某医院的儿科主任朱亚非诊室,晨晨妈正在焦急地向医生说明其7岁女儿晨晨最近的症状。

朱主任一听
专业雷达马上响起
随即问道:
“那么家里人有咳嗽生病吗?
晨晨咳嗽的声音
有没有奇怪的像鸡鸣一样的回响?”

晨晨妈一听,马上回答:“是的是的朱医生,孩子咳嗽的声音确实和以前生病咳嗽都不一样。我们全家在咳嗽,我过年回去上班以后感觉办公室的同事也都在咳!”
根据问诊和查体,朱亚非主任考虑晨晨可能是得了一种特殊的传染病——“百日咳”。之后,她对晨晨进行了百日咳鲍特菌的核酸采样,并告诉晨晨妈第二天即可查询到相应结果。果不其然,第二天,晨晨核酸结果提示百日咳鲍特菌“阳了”!
162646jk929291592zw35k.jpeg
根据国家疾病预防控制局发布的“2024年1月全国法定传染病疫情概况”和“2024年2月全国法定传染病疫情概况”,2024年1月(1月1日0时至1月31日24时),全国(不含香港、澳门特别行政区和台湾地区,下同)共报告法定传染病3427657例,死亡2198人;2024年2月(2月1日0时至2月29日24时),全国共报告法定传染病1594723例,死亡1674人。

其中,1月报告百日咳15245例,其中死亡5例;2月报告百日咳17105例,其中死亡8例。

去年同期,即2023年1月(2023年1月1日0时至1月31日24时),全国共报告法定传染病249324例,死亡2158人。其中,报告百日咳883例;2023年2月(2023年2月1日0时至2月28日24时),全国共报告法定传染病624685例,死亡2329人。其中,报告百日咳538例。

百日咳到底有哪些危害
和预防措施?
一起来了解一下
162646vmi3yx2ni297m7xi.gif


162646m5c2z8spaaze62xn.gif

什么是百日咳?

百日咳是由百日咳鲍特菌感染引起的一种传染性极强的严重急性呼吸道传染病,由于病程较长,咳嗽周期可长达2~3个月,故名百日咳,属于乙类法定传染病。百日咳的典型症状多表现为阵发性、痉挛性咳嗽,咳嗽终止时还伴有鸡鸣样的吸气声等。

162646sx6lltlx6t9p4645.gif

百日咳流行病学史

传染源

患者是此病唯一的传染源,从发病前1-2天至病程6周内,均有传染性,以发病初2~3周内传染性最强。


传染途径


主要通过呼吸道飞沫传播,也可经密切接触传播。


易感人群


人群对百日咳普遍易感,但幼儿发病率最高,尤其是6个月以下婴幼儿多见。因此学龄儿童集体发病和家庭成员聚集发病比较常见。



162647o7oczf2ctaaq11ds.gif

百日咳预防措施

控制传染源

百日咳发病后6周内都有传染性,发病起3周内,传染性最强。目前大多数传染源是家庭成员,因症状不典型,常被误诊。青少年和成年人通常症状较轻,如果没有及时治疗,则可能将本病传染给婴幼儿。家庭成员中若有长期咳嗽,需要及时进行百日咳核酸检测。

切断传播途径

每天定时开窗,保持空气的流通,远离可能导致咳嗽的烟雾、灰尘等;病人衣、物要洗晒。使用一般消毒剂、紫外线照射也均可将其杀灭;勤洗手,外出时戴口罩。

保护易感人群

免疫接种百日咳疫苗。通常疫苗接种后5~6年,其诱导的免疫力减退。十二年后抗体几乎消失。若有流行时易感人群仍需加强接种。


反复剧烈的咳嗽
不要硬扛!

为什么提醒大家
反复剧烈的咳嗽
一定不要硬扛呢?
因为
近日深圳一名30岁男子
竟然咳断了两根肋骨!

深圳的聂先生今年30岁,一场流感后,他咳嗽持续了一个月之久。
“一开始只是咳嗽,本想着过段时间身体就会自我修复,没想到越拖越严重。每次一咳嗽,胸这块就疼痛难忍,感觉像被锤子砸了一样。”  聂先生回忆道。
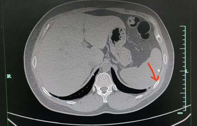
医生注意到,正常状态下,聂先生胸口只有轻微痛感,但在咳嗽或按压时,疼痛会明显加重。经过进一步的CT检查发现,聂先生右侧第五、第六肋骨都骨折了。
162646dltpj3thl9dzardp.png
医生解释,肋骨骨折与其他骨折不同,它不承受重量,所以在静息状态下通常没有疼痛感。但当肋骨受到外力按压或胸廓活动较大时,如咳嗽或深呼吸,就会引发疼痛。

“咳断肋骨的情况在骨质疏松的老年患者中较为常见。像聂先生这样年轻、体型正常、营养均衡的患者是较少见的案例,可能是由于咳嗽时间持续过久,造成了肋骨部位反复受到牵拉而引发的疲劳骨折。”医生表示。

医生提醒,反复剧烈的咳嗽,会影响休息、生活,甚至会引起支气管黏膜破裂、气胸、肋骨骨折等并发症,不能总想着“扛一扛就过去了”。

此外
咳嗽既是“力气活”
也是“技术活”
掌握正确的咳嗽方式
有助于气道远端分泌物、痰液的排出
也可以避免咳得太猛导致骨折、气胸等
162647zo7q2qlmmaqt7ul7.gif

1.选择坐位,双脚着地,身体稍前倾,进行数次缓慢的深呼吸,然后深吸一口气后,再迅速张口,进行2~3次短促有力咳嗽。咳嗽时用自己的手按压上腹部,帮助咳嗽;


2.咳嗽时,可以把双手抱于胸前,或是环抱一个枕头,这样可以减缓胸廓肌的牵拉;


3.对于咳痰困难的人群,如年老体弱的患者,可以在咳嗽时由他人协助拍背,即用空心掌从背部的外周向中央逐步拍,促使痰液更好地咳出。


最后再提醒大家
如果一直咳咳咳不停
一定要及时就医

来源:国家流感中心、广州日报、渝水发布
当下心动便是最珍贵
回复

使用道具 举报

您需要登录后才可以回帖 登录 | 立即注册

收藏:16 | 帖子:874

侵权举报:本页面所涉内容为用户发表并上传,相应的法律责任由用户自行承担;本网站仅提供存储服务;如存在侵权问题,请权利人与本网站联系删除!举报电话:0719-5208066